
New Patient Experience
Our New Patient Experience offers a thorough and personalised introduction to your dental wellbeing, guided by genuine one-on-one care from our team.



Beginnings
What to Expect During Your First Visit
Our Comprehensive Dental Exam is a detailed look at your oral health and usually takes around 60 minutes. During your visit, we take the time to listen to your concerns and understand your goals.
What’s Included in Your Appointment:
Full diagnostic imaging
Full diagnostic imaging
Full diagnostic imaging
Clinical photography
Clinical photography
Clinical photography
Oral cancer screening
Oral cancer screening
Oral cancer screening
Gum health screening
Gum health screening
Gum health screening
Alignment & jaw function
Alignment & jaw function
Alignment & jaw function
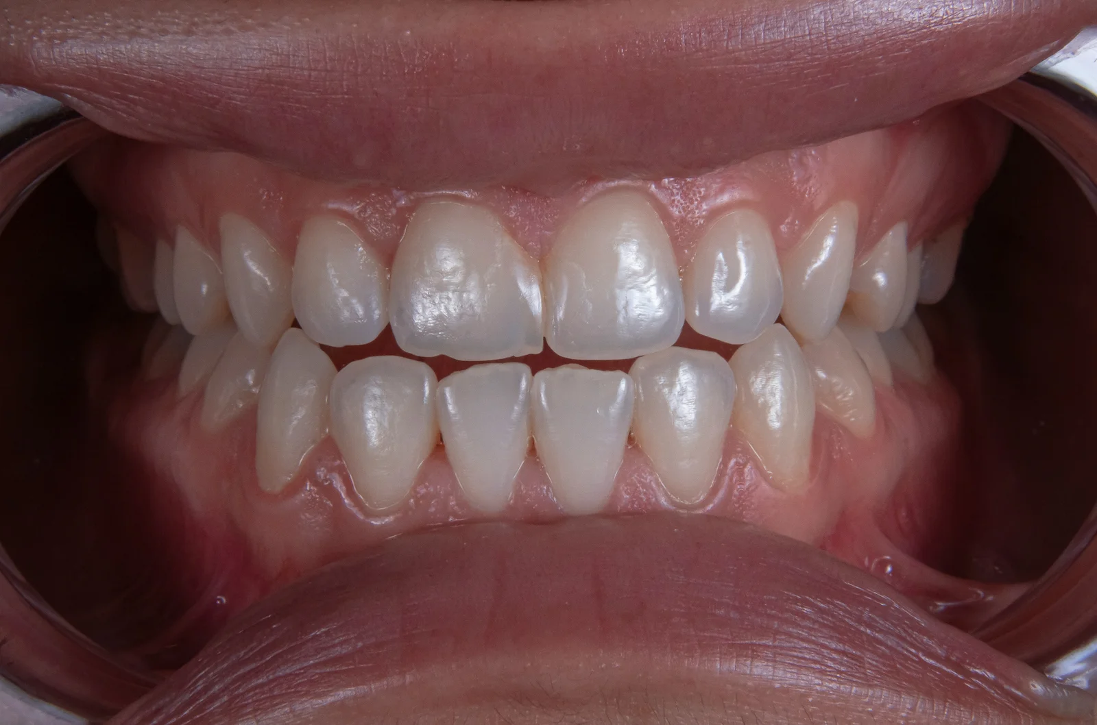
Smile assessment
Smile assessment
Smile assessment
Teeth health assessment
Teeth health assessment
Teeth health assessment
Thorough cleaning of the teeth & gums
Thorough cleaning of the teeth & gums
Thorough cleaning of the teeth & gums
Remineralising & desensitising treatment
Remineralising & desensitising treatment
Remineralising & desensitising treatment
Tailored treatment solutions
Clarity Around Your Oral Health
01
Full Diagnostic Imaging
We take a full set of dental x-rays to check for any issues hiding between or inside your teeth, like decay or infection. You’ll also get a large panoramic x-ray (called an OPG) so we can assess your wisdom teeth, jaw joints, bone levels, and screen for anything unusual like cysts or growths.

02
Clinical Photography
We take clear photos of your teeth and mouth—inside and out. These help us explain what we see, track any changes over time, and plan treatment with you.

03
Oral Cancer Screening
Detecting oral cancer in its early stages greatly improves treatment outcomes. During your visit, we perform a thorough examination of your mouth, lips, tongue, and throat to check for any abnormalities or warning signs.

04
Gum Health Screening
Healthy gums are essential for a strong smile. We carefully examine your gums for early indicators of gum disease, which can progress to tooth loss and impact your overall health if not addressed promptly.

05
Alignment & Jaw Function
Proper alignment and jaw function play a vital role in your overall oral health. We evaluate how your teeth come together and how your jaw moves to identify issues like bite problems or TMJ disorders, which can lead to discomfort, uneven wear, or long-term complications if left untreated.

06
Smile Assessment
Your smile is one of your most noticeable features. We offer a personalised smile assessment to evaluate the appearance of your teeth and gums, discussing options to enhance symmetry, colour, and overall aesthetics—so you can smile with confidence.

07
Teeth Health Assesment
Strong, healthy teeth are the foundation of good oral health. We carefully check each tooth for signs of decay, damage, or wear to catch any issues early and help maintain your natural teeth for the long term.

01
Full Diagnostic Imaging
We take a full set of dental x-rays to check for any issues hiding between or inside your teeth, like decay or infection. You’ll also get a large panoramic x-ray (called an OPG) so we can assess your wisdom teeth, jaw joints, bone levels, and screen for anything unusual like cysts or growths.

02
Clinical Photography
We take clear photos of your teeth and mouth—inside and out. These help us explain what we see, track any changes over time, and plan treatment with you.

03
Oral Cancer Screening
Detecting oral cancer in its early stages greatly improves treatment outcomes. During your visit, we perform a thorough examination of your mouth, lips, tongue, and throat to check for any abnormalities or warning signs.

04
Gum Health Screening
Healthy gums are essential for a strong smile. We carefully examine your gums for early indicators of gum disease, which can progress to tooth loss and impact your overall health if not addressed promptly.

05
Alignment & Jaw Function
Proper alignment and jaw function play a vital role in your overall oral health. We evaluate how your teeth come together and how your jaw moves to identify issues like bite problems or TMJ disorders, which can lead to discomfort, uneven wear, or long-term complications if left untreated.

06
Smile Assessment
Your smile is one of your most noticeable features. We offer a personalised smile assessment to evaluate the appearance of your teeth and gums, discussing options to enhance symmetry, colour, and overall aesthetics—so you can smile with confidence.

07
Teeth Health Assesment
Strong, healthy teeth are the foundation of good oral health. We carefully check each tooth for signs of decay, damage, or wear to catch any issues early and help maintain your natural teeth for the long term.

01
Full Diagnostic Imaging
We take a full set of dental x-rays to check for any issues hiding between or inside your teeth, like decay or infection. You’ll also get a large panoramic x-ray (called an OPG) so we can assess your wisdom teeth, jaw joints, bone levels, and screen for anything unusual like cysts or growths.

02
Clinical Photography
We take clear photos of your teeth and mouth—inside and out. These help us explain what we see, track any changes over time, and plan treatment with you.

03
Oral Cancer Screening
Detecting oral cancer in its early stages greatly improves treatment outcomes. During your visit, we perform a thorough examination of your mouth, lips, tongue, and throat to check for any abnormalities or warning signs.

04
Gum Health Screening
Healthy gums are essential for a strong smile. We carefully examine your gums for early indicators of gum disease, which can progress to tooth loss and impact your overall health if not addressed promptly.

05
Alignment & Jaw Function
Proper alignment and jaw function play a vital role in your overall oral health. We evaluate how your teeth come together and how your jaw moves to identify issues like bite problems or TMJ disorders, which can lead to discomfort, uneven wear, or long-term complications if left untreated.

06
Smile Assessment
Your smile is one of your most noticeable features. We offer a personalised smile assessment to evaluate the appearance of your teeth and gums, discussing options to enhance symmetry, colour, and overall aesthetics—so you can smile with confidence.

07
Teeth Health Assesment
Strong, healthy teeth are the foundation of good oral health. We carefully check each tooth for signs of decay, damage, or wear to catch any issues early and help maintain your natural teeth for the long term.

01
Full Diagnostic Imaging
We take a full set of dental x-rays to check for any issues hiding between or inside your teeth, like decay or infection. You’ll also get a large panoramic x-ray (called an OPG) so we can assess your wisdom teeth, jaw joints, bone levels, and screen for anything unusual like cysts or growths.

02
Clinical Photography
We take clear photos of your teeth and mouth—inside and out. These help us explain what we see, track any changes over time, and plan treatment with you.

03
Oral Cancer Screening
Detecting oral cancer in its early stages greatly improves treatment outcomes. During your visit, we perform a thorough examination of your mouth, lips, tongue, and throat to check for any abnormalities or warning signs.

04
Gum Health Screening
Healthy gums are essential for a strong smile. We carefully examine your gums for early indicators of gum disease, which can progress to tooth loss and impact your overall health if not addressed promptly.

05
Alignment & Jaw Function
Proper alignment and jaw function play a vital role in your overall oral health. We evaluate how your teeth come together and how your jaw moves to identify issues like bite problems or TMJ disorders, which can lead to discomfort, uneven wear, or long-term complications if left untreated.

06
Smile Assessment
Your smile is one of your most noticeable features. We offer a personalised smile assessment to evaluate the appearance of your teeth and gums, discussing options to enhance symmetry, colour, and overall aesthetics—so you can smile with confidence.

07
Teeth Health Assesment
Strong, healthy teeth are the foundation of good oral health. We carefully check each tooth for signs of decay, damage, or wear to catch any issues early and help maintain your natural teeth for the long term.

01
Full Diagnostic Imaging
We take a full set of dental x-rays to check for any issues hiding between or inside your teeth, like decay or infection. You’ll also get a large panoramic x-ray (called an OPG) so we can assess your wisdom teeth, jaw joints, bone levels, and screen for anything unusual like cysts or growths.

02
Clinical Photography
We take clear photos of your teeth and mouth—inside and out. These help us explain what we see, track any changes over time, and plan treatment with you.

03
Oral Cancer Screening
Detecting oral cancer in its early stages greatly improves treatment outcomes. During your visit, we perform a thorough examination of your mouth, lips, tongue, and throat to check for any abnormalities or warning signs.

04
Gum Health Screening
Healthy gums are essential for a strong smile. We carefully examine your gums for early indicators of gum disease, which can progress to tooth loss and impact your overall health if not addressed promptly.

05
Alignment & Jaw Function
Proper alignment and jaw function play a vital role in your overall oral health. We evaluate how your teeth come together and how your jaw moves to identify issues like bite problems or TMJ disorders, which can lead to discomfort, uneven wear, or long-term complications if left untreated.

06
Smile Assessment
Your smile is one of your most noticeable features. We offer a personalised smile assessment to evaluate the appearance of your teeth and gums, discussing options to enhance symmetry, colour, and overall aesthetics—so you can smile with confidence.

07
Teeth Health Assesment
Strong, healthy teeth are the foundation of good oral health. We carefully check each tooth for signs of decay, damage, or wear to catch any issues early and help maintain your natural teeth for the long term.

01
Full Diagnostic Imaging
We take a full set of dental x-rays to check for any issues hiding between or inside your teeth, like decay or infection. You’ll also get a large panoramic x-ray (called an OPG) so we can assess your wisdom teeth, jaw joints, bone levels, and screen for anything unusual like cysts or growths.

02
Clinical Photography
We take clear photos of your teeth and mouth—inside and out. These help us explain what we see, track any changes over time, and plan treatment with you.

03
Oral Cancer Screening
Detecting oral cancer in its early stages greatly improves treatment outcomes. During your visit, we perform a thorough examination of your mouth, lips, tongue, and throat to check for any abnormalities or warning signs.

04
Gum Health Screening
Healthy gums are essential for a strong smile. We carefully examine your gums for early indicators of gum disease, which can progress to tooth loss and impact your overall health if not addressed promptly.

05
Alignment & Jaw Function
Proper alignment and jaw function play a vital role in your overall oral health. We evaluate how your teeth come together and how your jaw moves to identify issues like bite problems or TMJ disorders, which can lead to discomfort, uneven wear, or long-term complications if left untreated.

06
Smile Assessment
Your smile is one of your most noticeable features. We offer a personalised smile assessment to evaluate the appearance of your teeth and gums, discussing options to enhance symmetry, colour, and overall aesthetics—so you can smile with confidence.

07
Teeth Health Assesment
Strong, healthy teeth are the foundation of good oral health. We carefully check each tooth for signs of decay, damage, or wear to catch any issues early and help maintain your natural teeth for the long term.

01
Full Diagnostic Imaging
We take a full set of dental x-rays to check for any issues hiding between or inside your teeth, like decay or infection. You’ll also get a large panoramic x-ray (called an OPG) so we can assess your wisdom teeth, jaw joints, bone levels, and screen for anything unusual like cysts or growths.

02
Clinical Photography
We take clear photos of your teeth and mouth—inside and out. These help us explain what we see, track any changes over time, and plan treatment with you.

03
Oral Cancer Screening
Detecting oral cancer in its early stages greatly improves treatment outcomes. During your visit, we perform a thorough examination of your mouth, lips, tongue, and throat to check for any abnormalities or warning signs.

04
Gum Health Screening
Healthy gums are essential for a strong smile. We carefully examine your gums for early indicators of gum disease, which can progress to tooth loss and impact your overall health if not addressed promptly.

05
Alignment & Jaw Function
Proper alignment and jaw function play a vital role in your overall oral health. We evaluate how your teeth come together and how your jaw moves to identify issues like bite problems or TMJ disorders, which can lead to discomfort, uneven wear, or long-term complications if left untreated.

06
Smile Assessment
Your smile is one of your most noticeable features. We offer a personalised smile assessment to evaluate the appearance of your teeth and gums, discussing options to enhance symmetry, colour, and overall aesthetics—so you can smile with confidence.

07
Teeth Health Assesment
Strong, healthy teeth are the foundation of good oral health. We carefully check each tooth for signs of decay, damage, or wear to catch any issues early and help maintain your natural teeth for the long term.

01
Full Diagnostic Imaging
We take a full set of dental x-rays to check for any issues hiding between or inside your teeth, like decay or infection. You’ll also get a large panoramic x-ray (called an OPG) so we can assess your wisdom teeth, jaw joints, bone levels, and screen for anything unusual like cysts or growths.

02
Clinical Photography
We take clear photos of your teeth and mouth—inside and out. These help us explain what we see, track any changes over time, and plan treatment with you.

03
Oral Cancer Screening
Detecting oral cancer in its early stages greatly improves treatment outcomes. During your visit, we perform a thorough examination of your mouth, lips, tongue, and throat to check for any abnormalities or warning signs.

04
Gum Health Screening
Healthy gums are essential for a strong smile. We carefully examine your gums for early indicators of gum disease, which can progress to tooth loss and impact your overall health if not addressed promptly.

05
Alignment & Jaw Function
Proper alignment and jaw function play a vital role in your overall oral health. We evaluate how your teeth come together and how your jaw moves to identify issues like bite problems or TMJ disorders, which can lead to discomfort, uneven wear, or long-term complications if left untreated.

06
Smile Assessment
Your smile is one of your most noticeable features. We offer a personalised smile assessment to evaluate the appearance of your teeth and gums, discussing options to enhance symmetry, colour, and overall aesthetics—so you can smile with confidence.

07
Teeth Health Assesment
Strong, healthy teeth are the foundation of good oral health. We carefully check each tooth for signs of decay, damage, or wear to catch any issues early and help maintain your natural teeth for the long term.

01
Full Diagnostic Imaging
We take a full set of dental x-rays to check for any issues hiding between or inside your teeth, like decay or infection. You’ll also get a large panoramic x-ray (called an OPG) so we can assess your wisdom teeth, jaw joints, bone levels, and screen for anything unusual like cysts or growths.

02
Clinical Photography
We take clear photos of your teeth and mouth—inside and out. These help us explain what we see, track any changes over time, and plan treatment with you.

03
Oral Cancer Screening
Detecting oral cancer in its early stages greatly improves treatment outcomes. During your visit, we perform a thorough examination of your mouth, lips, tongue, and throat to check for any abnormalities or warning signs.

04
Gum Health Screening
Healthy gums are essential for a strong smile. We carefully examine your gums for early indicators of gum disease, which can progress to tooth loss and impact your overall health if not addressed promptly.

05
Alignment & Jaw Function
Proper alignment and jaw function play a vital role in your overall oral health. We evaluate how your teeth come together and how your jaw moves to identify issues like bite problems or TMJ disorders, which can lead to discomfort, uneven wear, or long-term complications if left untreated.

06
Smile Assessment
Your smile is one of your most noticeable features. We offer a personalised smile assessment to evaluate the appearance of your teeth and gums, discussing options to enhance symmetry, colour, and overall aesthetics—so you can smile with confidence.

07
Teeth Health Assesment
Strong, healthy teeth are the foundation of good oral health. We carefully check each tooth for signs of decay, damage, or wear to catch any issues early and help maintain your natural teeth for the long term.

01
Full Diagnostic Imaging
We take a full set of dental x-rays to check for any issues hiding between or inside your teeth, like decay or infection. You’ll also get a large panoramic x-ray (called an OPG) so we can assess your wisdom teeth, jaw joints, bone levels, and screen for anything unusual like cysts or growths.

02
Clinical Photography
We take clear photos of your teeth and mouth—inside and out. These help us explain what we see, track any changes over time, and plan treatment with you.

03
Oral Cancer Screening
Detecting oral cancer in its early stages greatly improves treatment outcomes. During your visit, we perform a thorough examination of your mouth, lips, tongue, and throat to check for any abnormalities or warning signs.

04
Gum Health Screening
Healthy gums are essential for a strong smile. We carefully examine your gums for early indicators of gum disease, which can progress to tooth loss and impact your overall health if not addressed promptly.

05
Alignment & Jaw Function
Proper alignment and jaw function play a vital role in your overall oral health. We evaluate how your teeth come together and how your jaw moves to identify issues like bite problems or TMJ disorders, which can lead to discomfort, uneven wear, or long-term complications if left untreated.

06
Smile Assessment
Your smile is one of your most noticeable features. We offer a personalised smile assessment to evaluate the appearance of your teeth and gums, discussing options to enhance symmetry, colour, and overall aesthetics—so you can smile with confidence.

07
Teeth Health Assesment
Strong, healthy teeth are the foundation of good oral health. We carefully check each tooth for signs of decay, damage, or wear to catch any issues early and help maintain your natural teeth for the long term.

01
Full Diagnostic Imaging
We take a full set of dental x-rays to check for any issues hiding between or inside your teeth, like decay or infection. You’ll also get a large panoramic x-ray (called an OPG) so we can assess your wisdom teeth, jaw joints, bone levels, and screen for anything unusual like cysts or growths.

02
Clinical Photography
We take clear photos of your teeth and mouth—inside and out. These help us explain what we see, track any changes over time, and plan treatment with you.

03
Oral Cancer Screening
Detecting oral cancer in its early stages greatly improves treatment outcomes. During your visit, we perform a thorough examination of your mouth, lips, tongue, and throat to check for any abnormalities or warning signs.

04
Gum Health Screening
Healthy gums are essential for a strong smile. We carefully examine your gums for early indicators of gum disease, which can progress to tooth loss and impact your overall health if not addressed promptly.

05
Alignment & Jaw Function
Proper alignment and jaw function play a vital role in your overall oral health. We evaluate how your teeth come together and how your jaw moves to identify issues like bite problems or TMJ disorders, which can lead to discomfort, uneven wear, or long-term complications if left untreated.

06
Smile Assessment
Your smile is one of your most noticeable features. We offer a personalised smile assessment to evaluate the appearance of your teeth and gums, discussing options to enhance symmetry, colour, and overall aesthetics—so you can smile with confidence.

07
Teeth Health Assesment
Strong, healthy teeth are the foundation of good oral health. We carefully check each tooth for signs of decay, damage, or wear to catch any issues early and help maintain your natural teeth for the long term.

01
Full Diagnostic Imaging
We take a full set of dental x-rays to check for any issues hiding between or inside your teeth, like decay or infection. You’ll also get a large panoramic x-ray (called an OPG) so we can assess your wisdom teeth, jaw joints, bone levels, and screen for anything unusual like cysts or growths.

02
Clinical Photography
We take clear photos of your teeth and mouth—inside and out. These help us explain what we see, track any changes over time, and plan treatment with you.

03
Oral Cancer Screening
Detecting oral cancer in its early stages greatly improves treatment outcomes. During your visit, we perform a thorough examination of your mouth, lips, tongue, and throat to check for any abnormalities or warning signs.

04
Gum Health Screening
Healthy gums are essential for a strong smile. We carefully examine your gums for early indicators of gum disease, which can progress to tooth loss and impact your overall health if not addressed promptly.

05
Alignment & Jaw Function
Proper alignment and jaw function play a vital role in your overall oral health. We evaluate how your teeth come together and how your jaw moves to identify issues like bite problems or TMJ disorders, which can lead to discomfort, uneven wear, or long-term complications if left untreated.

06
Smile Assessment
Your smile is one of your most noticeable features. We offer a personalised smile assessment to evaluate the appearance of your teeth and gums, discussing options to enhance symmetry, colour, and overall aesthetics—so you can smile with confidence.

07
Teeth Health Assesment
Strong, healthy teeth are the foundation of good oral health. We carefully check each tooth for signs of decay, damage, or wear to catch any issues early and help maintain your natural teeth for the long term.

Member
Meet Our Team
We know a trip to the dentist isn’t usually anyone’s first choice. It can bring nerves or stress, and that’s completely normal. At Colac Smiles, you’re never just another set of teeth. We take the time to listen, understand, and support you at every stage of your visit - always with care and never with judgment.
Frequently Asked Questions
What happens at my first dental check-up?
We’ll assess your teeth, gums, and overall oral health. This includes reviewing your medical history, taking X-rays or photos as needed, and checking for signs of issues like gum disease or oral cancer. The visit lasts about 45–60 minutes.
What happens at my first dental check-up?
We’ll assess your teeth, gums, and overall oral health. This includes reviewing your medical history, taking X-rays or photos as needed, and checking for signs of issues like gum disease or oral cancer. The visit lasts about 45–60 minutes.
What happens at my first dental check-up?
We’ll assess your teeth, gums, and overall oral health. This includes reviewing your medical history, taking X-rays or photos as needed, and checking for signs of issues like gum disease or oral cancer. The visit lasts about 45–60 minutes.
What’s an oral cancer screening?
It’s a quick, painless check of your mouth, lips, and tongue to spot any early signs of cancer or abnormal changes.
What’s an oral cancer screening?
It’s a quick, painless check of your mouth, lips, and tongue to spot any early signs of cancer or abnormal changes.
What’s an oral cancer screening?
It’s a quick, painless check of your mouth, lips, and tongue to spot any early signs of cancer or abnormal changes.
Why do I need dental X-rays?
Digital X-rays help us see problems that aren’t visible to the eye—like decay between teeth, bone loss, or infections.
Why do I need dental X-rays?
Digital X-rays help us see problems that aren’t visible to the eye—like decay between teeth, bone loss, or infections.
Why do I need dental X-rays?
Digital X-rays help us see problems that aren’t visible to the eye—like decay between teeth, bone loss, or infections.
Will the exam hurt?
Not at all. The exam is gentle and non-invasive. If anything feels uncomfortable, just let us know—we’re here to help.
Will the exam hurt?
Not at all. The exam is gentle and non-invasive. If anything feels uncomfortable, just let us know—we’re here to help.
Will the exam hurt?
Not at all. The exam is gentle and non-invasive. If anything feels uncomfortable, just let us know—we’re here to help.
How do you decide what treatment I need?
After your exam, we’ll explain what we’ve found and discuss treatment options that suit your goals, lifestyle, and budget.
How do you decide what treatment I need?
After your exam, we’ll explain what we’ve found and discuss treatment options that suit your goals, lifestyle, and budget.
How do you decide what treatment I need?
After your exam, we’ll explain what we’ve found and discuss treatment options that suit your goals, lifestyle, and budget.

Ready to Take the First Step?
We’re here to provide genuine, personalised care that supports your long-term dental health. If you’re looking for a dentist who takes the time to understand your needs, we’d love to look after you. Get in touch with our friendly team or book online to schedule your first visit—we can’t wait to welcome you.

Ready to Take the First Step?
We’re here to provide genuine, personalised care that supports your long-term dental health. If you’re looking for a dentist who takes the time to understand your needs, we’d love to look after you. Get in touch with our friendly team or book online to schedule your first visit—we can’t wait to welcome you.

Ready to Take the First Step?
We’re here to provide genuine, personalised care that supports your long-term dental health. If you’re looking for a dentist who takes the time to understand your needs, we’d love to look after you. Get in touch with our friendly team or book online to schedule your first visit—we can’t wait to welcome you.


